Artrosi del ginocchio: nuove protesi su misura per un recupero totale

L’artrosi del ginocchio è causa di un dolore molto intenso e di deformità: questi due problemi rappresentano, per chi ne è affetto, una grave limitazione, al punto che il paziente cammina sempre di meno, si chiude in casa, sino all’annullamento della propria vita. L’artrosi è una malattia che colpisce, uomini e donne, generalmente il 50 […]

L’artrosi del ginocchio è causa di un dolore molto intenso e di deformità: questi due problemi rappresentano, per chi ne è affetto, una grave limitazione, al punto che il paziente cammina sempre di meno, si chiude in casa, sino all’annullamento della propria vita. L’artrosi è una malattia che colpisce, uomini e donne, generalmente il 50 % della popolazione al di sopra dei 65-70 anni. Sono in aumento, inoltre, i soggetti che, a causa di una condotta sportiva intensa, si ritrovano in questa situazione di degenerazione in età più giovanile, tra i 55 e i 65 anni, più frequentemente tra i maschi. La risoluzione della problematica è impossibile se non si interviene chirurgicamente, ma la scienza ha ottenuto notevoli progressi, che oggigiorno permettono un recupero totale.

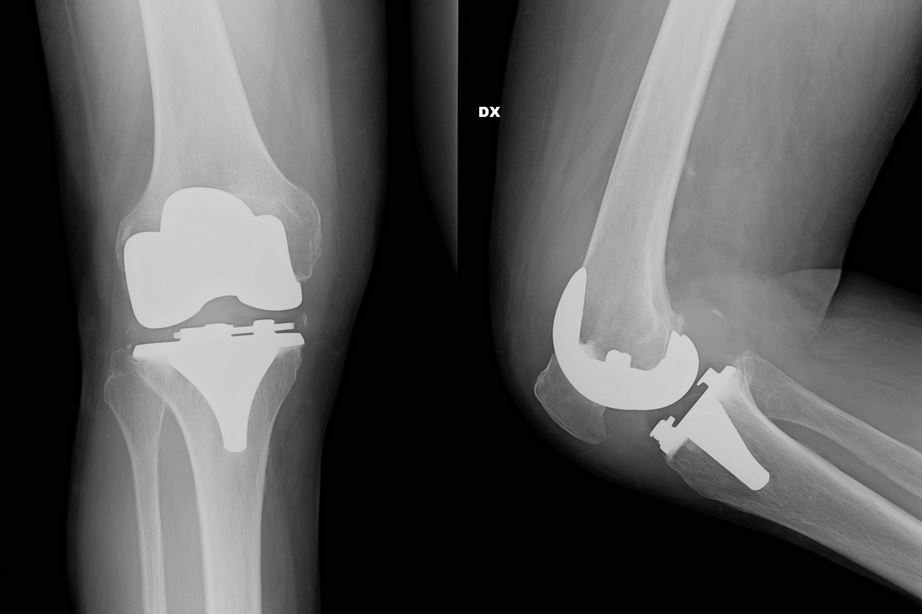
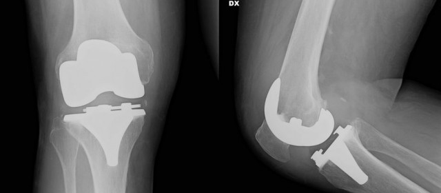
La novità consiste nella personalizzazione della protesi: prima di operare, infatti, viene fatta una TAC (acronimo di tomografia assiale computerizzata) che studia l’osso, permettendo all’ingegnere e al chirurgo di adoperare una serie di scelte esclusive per quel ginocchio e per quel paziente. La protesi, che viene installata in un’ora, è quindi un abito su misura, e consente un recupero totale del ginocchio. Questo protocollo nasce in Svizzera e si è diffuso soprattutto in Francia e Spagna, ma poco in Italia. Attualmente sono solo quattro i centri a cui ci si può rivolgere: a Genova, a Roma, ad Arezzo e a Bologna. Gli interventi di protesi di ginocchio nel 2014 sono stati circa 85mila in Italia e sono sicuramente in aumento.

“La qualità dei risultati – precisa il Mario Manili ortopedico, Socio SIOT – Società di Ortopedia e Traumatologia- Consulente presso il Centro Chirurgico Toscano di Arezzo e la Clinica Villa del Rosario di Roma – dipende dalla precisione dell’applicazione della protesi, perché bisogna togliere la parte malata, riequilibrare l’asse del ginocchio, intervenendo quindi anche sui legamenti, e fissarla all’osso. Tutto questo si fa con un gesto unico, ma richiede un altissimo livello di precisione, altrimenti si rischia un risultato poco efficace. C’è soltanto un 2% dei pazienti che continua a subire un lievissimo dolore, ma di gran lunga inferiore al precedente. Con il tempo però, anche in questi casi, si raggiunge il perfetto equilibrio”.

I più soggetti all’artrosi sono anziani, ex sportivi, giovani adulti che presentano una deformità avanzata, con grado 3 e 4 della scala di Halback. “Per gli anziani l’intervento di protesi risolve il problema pressoché nel 100% dei casi: il paziente, dopo poche settimane, è in grado di camminare, muoversi autonomamente, guidare l’auto e non assumere più i farmaci. Successivamente potrà anche riprendere a fare sport, ma rimangono sconsigliati calcio, basket e arrampicata”, conclude il Dr. Manili.