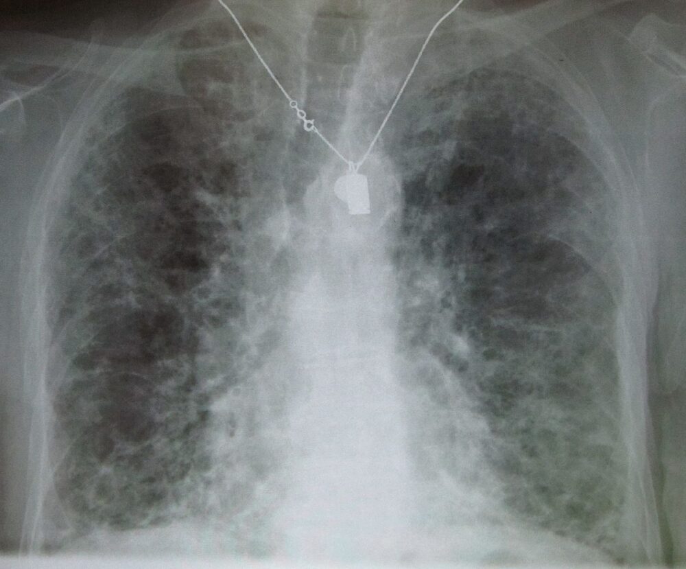
Fibrosi polmonari, Di Marco (Boehringer): Devastanti come tumori

“Viviamo di ricerca perché abbiamo al centro il paziente. Come azienda abbiamo un investimento globale molto importante di 6,2 miliardi di euro all’anno in ricerca e sviluppo, che rappresentano quasi il 24% del nostro fatturato. Nell’area delle fibrosi polmonari e della respirazione in generale, in particolare modo, abbiamo una storia quasi centenaria come azienda e […]

“Viviamo di ricerca perché abbiamo al centro il paziente. Come azienda abbiamo un investimento globale molto importante di 6,2 miliardi di euro all’anno in ricerca e sviluppo, che rappresentano quasi il 24% del nostro fatturato. Nell’area delle fibrosi polmonari e della respirazione in generale, in particolare modo, abbiamo una storia quasi centenaria come azienda e la volontà di cambiare la vita dei pazienti, lo abbiamo fatto per generazioni”. Così Francesco Di Marco, Global Head of Human Pharma Regions – Boehringer Ingelheim, intervistato dai giornalisti oggi a Roma in occasione della conferenza stampa dal titolo ‘Le fibrosi polmonari: un bisogno di salute pubblica insoddisfatto’, promossa dalla senatrice Elena Murelli, con il contributo non condizionante di Boehringer Ingelheim. Nel corso dell’evento, che si è svolto al Senato, è stato presentato un documento di posizionamento sulle fibrosi polmonari, con quattro proposte chiave, realizzato da un gruppo multidisciplinare composto da esponenti delle società scientifiche, associazioni di pazienti e rappresentanti istituzionali, volto a definire “strategie concrete per una presa in carico più efficace e strutturata delle persone affette da queste patologie”.

“Abbiamo portato i primi farmaci nelle fibrosi multiple- ha proseguito Di Marco- siamo stati però anche coscienti che questi farmaci aiutavano ma non risolvevano la condizione dei pazienti. Quindi abbiamo continuato ad investire in ricerca e siamo stati molto fieri della recente presentazione ad un congresso negli Stati Uniti dei nuovi dati dello studio ‘Fibroneer’, in cui l’Italia ha giocato un ruolo veramente importante, anche di coordinamento di questi studi: è la prima volta, dopo dieci anni, che un nuovo farmaco ha dei risultati positivi. Adesso ci apprestiamo ad affrontare l’iter regolatorio e poi di approvazione per poter portare il più presto possibile questa nuova soluzione, che ha la potenzialità di cambiare davvero la vita dei pazienti. Ed è questo che ci rende felici, perché è lo scopo di tutto quello che facciamo”.

Ma quanto è importante la partecipazione di tutti gli stakeholder nella ricerca? “È importante, ancora prima che nella ricerca, per la presa in carico dei pazienti- ha risposto Di Marco alla Dire- perché la ricerca è funzionale al trattare i pazienti. Le fibrosi polmonari sono una malattia complessa, che però non viene considerata alla stregua dell’oncologia, pur avendo gli stessi impatti devastanti di un tumore. Quindi è importante che gli stakeholder lavorino assieme per portare avanti il bisogno di avere una diagnosi precoce e di una presa in carico a 360 gradi, con tutti i componenti della filiera della salute a partire dal medico di base, dallo pneumologo al reumatologo fino al radiologo, ma anche e soprattutto delle associazioni dei pazienti, che possono davvero supportare questo miglioramento della vita dei pazienti”.

Oggi al Senato è stato lanciato anche un appello di sensibilizzazione su queste patologie a tutte le È un appello importante che parte dalla gravità della patologia- ha commentato ancora Di Marco- che di fatto oggi non è presa in carico come dovrebbe. È stato molto bello vedere oggi riunite politica, associazioni dei pazienti e di categoria e un’azienda come la nostra, che si sono ritrovate insieme per dire che i pazienti non stanno ancora bene e che si sono confrontate su cosa fare per migliorare. Noi abbiamo delle soluzioni e siamo molto fieri di poterle portare, ma senza una collaborazione a 360 gradi non si va da nessuna parte. L’innovazione ha un effetto quando viene portata nelle mani dei pazienti”.

L’Italia, grazie alla sua eccellenza, rappresenta intanto un tassello “essenziale” nello sviluppo dei Noi portiamo il 90% dei nostri studi clinici e in generale a livello globale è un investimento importante- ha aggiunto Di Marco- perché senza il contributo del nostro Paese non potremmo sviluppare questi farmaci. Possiamo contare su eccellenze, anche su opinion leader di fama mondiale, che aiutano la coordinazione di questi studi e contribuiscono anche al loro successo. Per cui siamo molto fieri di essere italiani- ha concluso- e di poter partecipare a livello internazionale per influenzare l’azienda globale a continuare ad investire e a credere nell’Italia”.